ct mri mra 차이
이해 쉽게 정리
안녕하세요. 얼마전에 어머니의 어지러움증 때문에 뇌혈관 질환이 의심되어서 병원에서 mri와 mra 검사를 하고 왔습니다. 어지러움증이 의심되는 질병으로는 목디스크와 뇌혈관 질환이 있습니다. 목디스크나 뇌혈관질환이 있으면 어지러움증이 발생될 수도 있다고 하더라고요. 그래서 척추질환 확인을 위해서는 ct촬영을, 뇌혈관질환을 확인확인 위해서는 mri와 mra 검사까지 함께 진행했습니다.
CT는 그렇다치고, mri와 mra검사가 꽤 비싸리라 생각을 하고.. 100만원 예상을 했는데요. 생각보다 저렴하게 나와서 놀랐습니다. 이유는 뇌혈관 질환 쪽은 건강보험이 적용되어 mri와 mra 검사는 보험적용이 되었더군요. 또 척추ct촬영 검사 결과 어머니께서는 디스크도 있다고 판명되어 의료실비보험 청구도 해서 50%정도는 되돌려받았습니다. 그래서 검사비용이 저렴할 수 있었던 것이죠.

(확실히 MRI 사진이 선명하게 보이죠?)
이렇게 여러가지 검사를 하면서 어머니께서 "무슨 검사를 이리 많이 하냐 하나만 하면되는 것아니냐고" 하셔서 어머니께 ct mri 차이 mri mra 차이에 대해서 설명해드렸습니다. 이런 부분들에 대해서 궁금하신 분들이 있으실 것 같아 오늘의 주제를 ct mri 차이 mri mra 차이로 정했습니다. 검사를 받으시면 뇌혈관 질환 보험이 적용이 되고 병명코드가 나오면 의료실비보험 청구도 가능하니 오늘의 글을 집중해서 읽어주세요. 아래 글을 주목해주세요.
1. CT란 무엇인가?

(측면에서 보면 얇죠? 폐쇄공포증이 있어도 찍을 수 있는 구조입니다)
CT란? 컴퓨터 단층촬영.. 우리나라말로 풀이를 하면 그렇습니다. CT촬영은 주로 단단한 조직을 검사하는데 이용되는데요. 보통 뼈 검사를 할 때 CT를 이용합니다. 그래서 저희 어머니도 디스크 검사를 할 때 CT 촬영을 하신 것이죠. 물론 뇌검사를 할 때도 CT를 사용할 수 있습니다.
CT는 질환의 초기를 진단할 수 있습니다. 하지만 MRA와 MRI보다는 자세히 나오지 않기 때문에 뇌혈관질환과 관련해서는 CT보다는 MRI MRA를 세트로 찍는 경우가 대다수입니다. 뇌혈관은 디스크보다는 굉장히 복잡한 혈관들이 뒤엉켜있잖아요? 그래서 단단한 조직을 검사하는 CT보다는 더 정밀하고 선명하게 볼 수 있는 mri 와 mra를 사용하는게 보편적인 것인 것이죠. 아래에서 사진들을 보면 이해가 더 빠르실 거에요.

(CT로 뇌를 찍었을 경우)
CT 촬영은 디스크 외에도 간, 위 , 췌장과같은 내장 등의 검사를 할 때도 자주 사용됩니다. 검사시간도 10분 정도밖에 걸리지 않기 때문에 매우 간단하게 검사받을 수 있죠. 하지만 많은 방사선이 나오기 때문에 임산부, 어린아이는 CT 촬영을 하지 않는 것이 좋습니다. CT촬영의 방사선은 X-ray보다 몇십배가 더 높기 때문에 검사를 여러번 받으면 피폭으로 좋지 않습니다. ct mri 차이가 방사능 피폭의 차이도 있죠. mri mra 검사는 방사선으로 검사하는 것이 아니거든요. 그래서 ct mri 차이가 가격에서도 한몫 합니다. mri가 훨씬 비싼거든요.
2. MRI MRA는 무엇인가?

(CT에 비해 기계가 크죠? 폐쇄공포증이 있으면 받기힘듭니다)
그럼 이제 mri와 mra에 대해서도 한번 알아볼까요? 우선 검사방식이 달라요. CT와 X-ray는 X선을 투과시켜서 하는 검사입니다. 반면에 mri와 mra는 자기장을 이용해서 검사하는 방법입니다. 그래서 CT와 Xray는 강한 방사선을 내뿜지만 MRI와 MRA는 그렇지 않는 것이 특징입니다. 방사능걱정에서 자유롭죠. 하지만 폐쇄공포증에서는 자유롭지 못합니다. 위의 사진처럼 CT기계보다 훨씬 두껍고 내부로 들어가는 검사이기 때문에 폐쇄공포증이 있는 사람들은 검사받기 힘든 구조입니다. 기계 내부로 들어가야하기 때문에 굉장히 답답하고 무섭다고 느낄 수 있습니다.

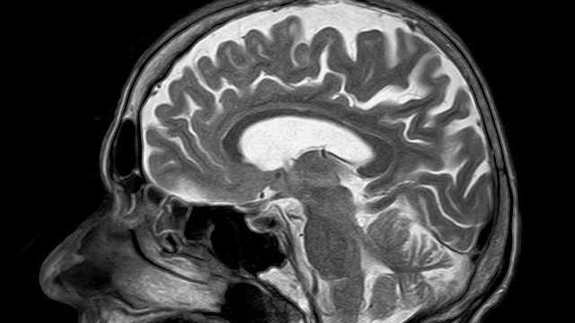
(MRI 뇌사진)
-MRI = 자기공명 영상법
MRI 검사는 뇌의 기관을 자세히 보고자 하는 검사입니다. 혈관보다는 뇌가 잘 보이는 검사죠. 아마 위의 사진을 보시면 더 이해가 빠르실 겁니다. 혈관 보다는 뇌의 기관이 더 잘보이죠? 그렇기 때문에 치매 검사, 뇌종양 검사, 등의 이상이 있는지를 빠르게 보고 자세하게 볼 수 있는 검사죠.

(MRA 뇌사진)
-MRA = 자기공명 혈관조영술
MRA 촬영은 뇌혈관 검사를 하러가면 MRI와 더불어서 세트로 하는 검사 인데요. MRI가 뇌자체를 자세히 볼 수 있었던 검사라면 MRA는 혈관을 자세히 볼 수 있는 검사입니다. MRI 사진과 MRA사진을 비교해봐도 한눈에 다른점을 볼 수 있죠? MRA는 뇌보다는 혈관을 자세히 볼 수 있는 촬영이기 때문에 뇌경색이나 뇌출혈처럼 혈관에 막힌 부분이나 터진 부분이 있는지 부은 부분이 있는지를 자세히 볼 수 있는 검사입니다.
ct mri 차이, mri mra 차이에 대해서 어느정도 파악이 되셨을까요? 이러한 검사들은 검사 받는 기관에 따라서 가격차이도 심하게 나는데요. 어지러움 깜빡깜빡하시는 분들은 ct mri 차이 mri mra 차이를 아셨으니 효율적으로 검사를 받아보시는 것을 추천드립니다. 뇌혈관질환은 보험 적용이 되니까 크게비싸지도 않구요. 또 의료실비보험 청구도 하면 반은 돌려받을 수 있으니까요. 이상 오늘의 건강정보 글을 마치도록 하겠습니다.
도움이 되신분들은 아래의 하트 좋아요 버튼을 눌러주시면 글을 적는데 힘이납니다:)
'건강' 카테고리의 다른 글
| pms 증후군 감마리놀렌산 효능으로 도움받기 (0) | 2021.03.01 |
|---|---|
| 저분자 콜라겐 펩타이드 진짜 피부에 좋은 것이 맞나? (0) | 2021.02.14 |
| 노니 원액 효능 먹는법 부작용 피하려면 (0) | 2021.01.24 |
| 뇌경색 초기증상 5가지 뇌 mri 보험 가능해 (4) | 2021.01.22 |
| 도수치료란 비용 체크하기 (0) | 2021.01.16 |